
患者,女,72岁,因“发现宫颈异常4 月”于2022年9月19日入院。
患者50岁绝经,绝经后无异常阴道流血流液史。4月余前常规体检宫颈tct:hisl,hpv16( ),阴道镜检查 宫颈活检病理回报:“宫颈3点活检”鳞状细胞癌,建议进一步手术治疗。门诊拟“宫颈癌”收住入院。
“高血压”病史20年,口服“苯磺酸氟氧地平片”5mg1次/日降压治疗自测血压130/70mmhg左右,无头晕头痛眼花不适。
右侧大阴唇下段见一直径约0.5cm大小黑色素痣,阴道畅,阴道壁未见异常。宫颈:3点位置见约1.5cm大小膨出,活检术后改变,无接触性出血,无举痛及摇摆痛。子宫前位,萎缩,质中,活动度可,无压痛。双侧附件区未及明显包块,无压痛。双侧腹股沟淋巴结未及明显肿大。
三合诊:双侧宫旁软,未及明显增厚。直肠黏膜光滑,指套无染血。
(2022-9-19本院)妇科彩超:宫腔内多发偏强回声结节内膜息肉首拟(大者约1.6*0.6*0.6cm)宫腔少许积液子宫肌瘤(1.8*1.2*1.7cm)
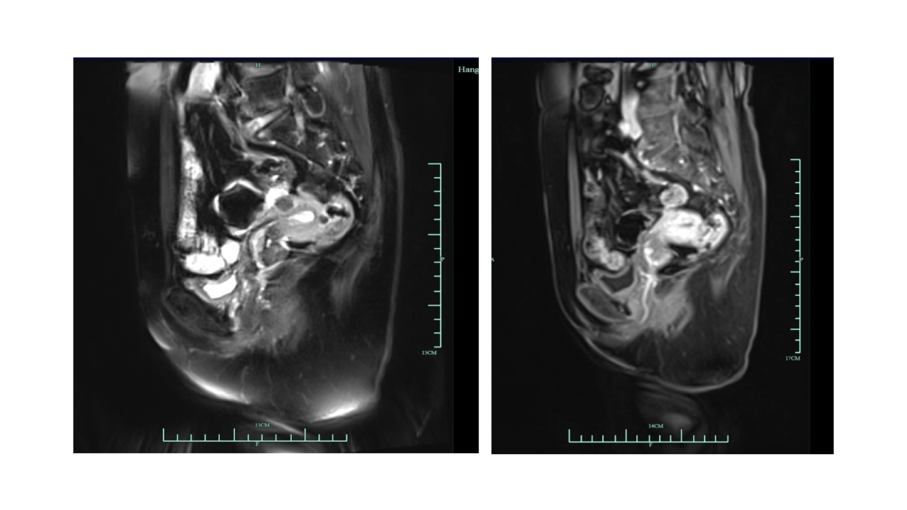
(2022-9-22本院)盆腔磁共振:宫颈后壁软组织信号灶(大小15*12mm),宫颈癌考虑。子宫肌瘤考虑。宫腔少量积液。
(2022-9-9本院)宫颈活检 ecc病理结果回示:“宫颈3点活检”鳞状细胞癌;(宫颈粘膜)子宫颈原位粘液腺癌,(宫颈管)粘液渗出物内见少量颈管腺体。

[声明:本网站所有内容,凡未注明来源为“转载”,电玩捕鱼的版权均归巢内网所有,未经授权,任何媒体、网站或个人不得转载,否则将追究法律责任,授权转载时须注明“来源:巢内网”。本网注明来源为其他媒体的内容为转载,转载仅作观点分享,电玩捕鱼的版权归原作者所有,如有侵犯电玩捕鱼的版权,请及时联系电玩捕鱼]
